NHG Eye Institute offers comprehensive cataract services with state-of-the-art diagnostic and surgical equipment. Cataract surgery is a highly successful day surgery procedure. It is most commonly performed via phacoemulsification. The department is also equipped for femtosecond assisted laser cataract surgery (FLACS). A wide range of intraocular lens (IOL) options are available including: monofocal, toric, enhanced depth of focus (EDOF) and multifocal lenses, to match the patient's refractive needs.
The Anterior Segment team provides a specialized service for patients with complex cataracts, intraocular lens and iris disorders. Complex cataracts, which include traumatic cataracts, subluxated cataracts and posterior polar cataracts, carry higher risks of complications and are handled specifically by anterior segment surgeons. Intraocular lens disorders and iris disorders include subluxated IOLs and iridodialysis. Subluxated IOLs can be re-fixated or exchanged while iris disorders can be repaired.



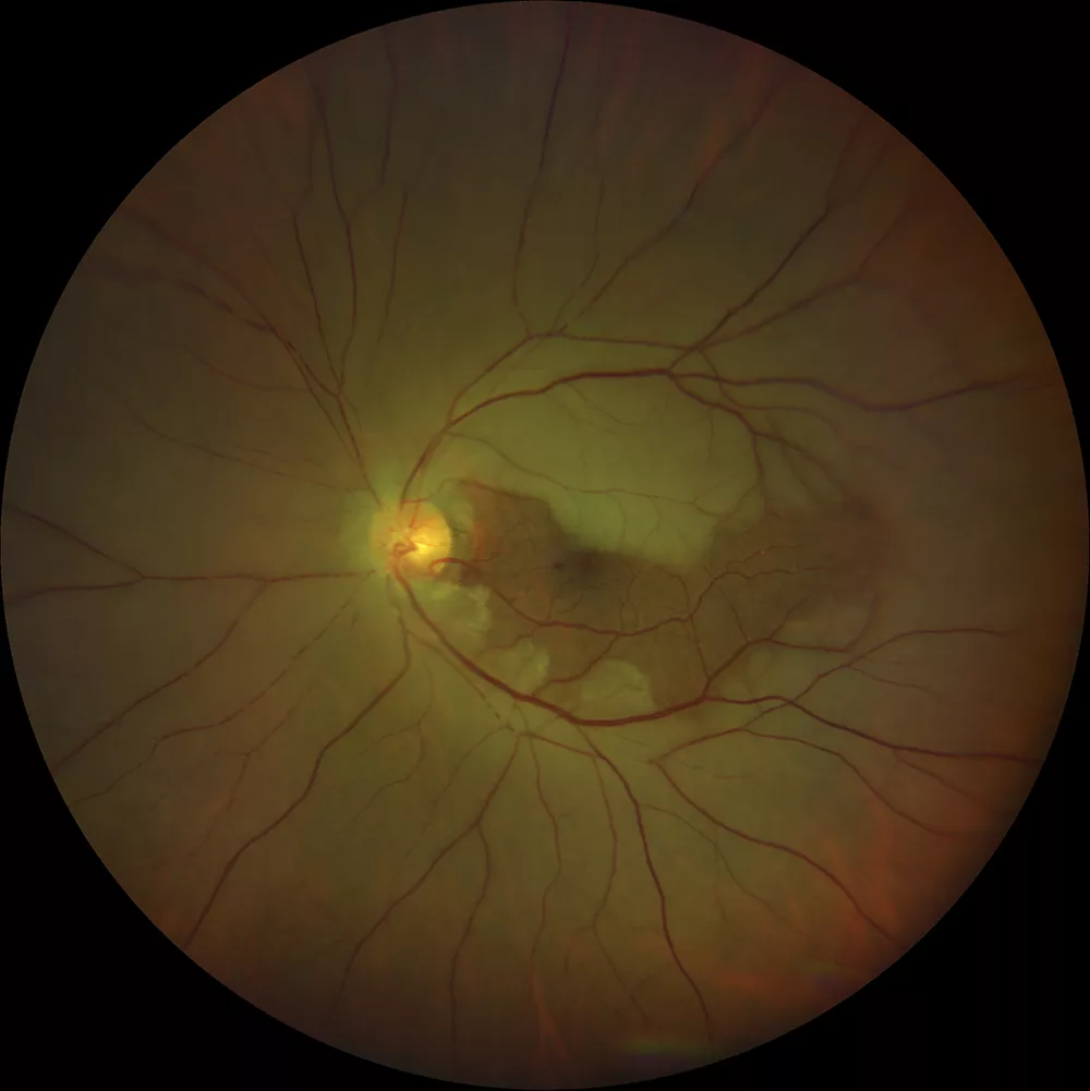
Glaucoma is a chronic, progressive and irreversible disease of the optic nerve. Most people suffering from this condition are asymptomatic as the peripheral vision is first affected in the early stages of the disease. The only modifiable risk factor in glaucoma is the intraocular pressure (IOP). When the IOP is sufficiently reduced, the optic nerve does not undergo further damage.
The management of glaucoma is focused on early detection and treatment to reduce IOP. Glaucoma can be detected through structural and functional tests such as the Optical Coherence Tomography (OCT) scans and Humphrey Visual Field (HVF) tests. Glaucoma treatment can be achieved with one or more of the following: medications, laser and surgery. Newer treatment modalities such as minimally invasive glaucoma surgery (MIGS) can be performed together with cataract surgery to lessen the burden of glaucoma medication and reduce the likelihood of requiring further invasive glaucoma surgery.



The Cornea & Refractive Surgery Service of NHGEI treats patients with disorders of the cornea and external layers of the eye, including the conjunctiva and sclera. We also perform the latest refractive surgery procedures to treat short-sightedness, astigmatism and long-sightedness.
Our Service comprises full-time staff of Senior Consultants, Fellows, Resident Physicians and Residents. Patients are carefully examined by one or more doctors and given an individualised treatment plan, based on the latest evidence-based therapies. The range of services we provide include management of dry eyes, contact lens-related problems, corneal degeneration, corneal ectasia, corneal infections, ocular surface inflammation, corneal dystrophies, recurrent corneal erosion, corneal injuries, and ocular surface tumours. Besides refractive surgeries such as LASIK, PRK and phakic intraocular lenses, we also perform corneal transplantation (full and partial thickness), ocular surface transplantation, corneal cross-linking, phototherapeutic keratectomy, complex pterygium surgery, and excision of benign and malignant ocular surface tumours.
We are dedicated to preventing corneal and external diseases of the eye, improving and restoring vision in reversible blindness from corneal diseases and providing the best care to our patients.



Common conditions we treat include ptosis, entropion, skin cancers affecting the eyelids, thyroid eye disease, orbital wall fractures and nasolacrimal duct obstruction.
Should surgical treatment be necessary, most surgeries are done as a day surgery procedure under regional anaesthesia. Examples include ptosis and entropion repair. General anaesthesia is reserved for more complicated surgeries such as orbital wall fracture repair and dacryocystorhinostomy for nasolacrimal duct obstruction.
Neuro-ophthalmic disorders are diagnostically challenging and may present with visual loss, ocular misalignment, pupillary abnormalities, or malposition of the eyelids. Such disorders may be complex and chronic, requiring continual partnership with the departments of Neurology, Neurosurgery and Neuro-radiology, to provide holistic care for patients. The department of neuro-ophthalmology at the Eye Institute is able to offer management of visual loss secondary to intracranial diseases affecting the visual pathways, double vision, and eyelids and facial spasms. For patients who have suffered irreversible vision loss, the department offers low vision services as well.



As a tertiary referral center, we are a team of Vitreo-Retinal Consultants who specialize in the provision of diagnostic investigations, expert clinical assessment and management of patients with medical and surgical retinal conditions. Examples of these conditions include:
Our expertise and range of procedures include intravitreal injections, laser photocoagulation, cryotherapy, photodynamic therapy, pneumo-retinopexy, scleral buckle, and minimally invasive small-gauge pars plana vitrectomy surgeries.
The Retina team has been actively involved in clinical trials for new treatment methods for retinal conditions. Our clinic is equipped with the latest ophthalmic diagnostic machines providing patients with access to wide-angle and in-depth retinal photos and angiograms.
Our Vitreo-Retinal surgeons also work with state of the art surgical instruments including wide-angle viewing systems and intraoperative optical coherence tomography for enhanced surgical visualization and precision.
Recently, we have initiated "The Virtual Ophthalmology Service" (TVOS) which enables remote ophthalmology reviews and has allowed for increased patient capacity and increased efficiency in the clinic.



We treat a vast array of ocular inflammatory disorders, from simple to complex cases relating to infectious and non-infectious/autoimmune etiologies.
Many of the ocular diseases are an indirect reflection of the patient general systemic conditions. As such, the Uveitis subspecialty practices care of a patient as a whole. We collaborate closely with other general medicine disciplines such as the Department of Infectious Diseases, Department of Rheumatology, Allergy and Immunology, Dermatology department, Respiratory department etc. to provide a well-rounded eye care.
Common cases we see in our weekly dedicated Uveitis clinics includes: Cytomegalovirus hypertensive anterior uveitis, Toxoplasma chorioretinitis, Tuberculosis uveitis, Herpetic uveitis, Cytomegalovirus retinitis, Syphilitc uveitis, Fuch's cyclitis, HLA B27 anterior uveitis, Vogt Koyanagi Harada disease, Behcet's disease, Scleritis, Psoriatic anterior uveitis, Idiopathic intermediate uveitis, idiopathic retinal vasculitis, HIV related retinopathy etc.
The Uveitis team are active in research and are well-supported by ocular diagnostic imaging equipment and facilities. We provide treatment with systemic biologics, immunosuppressive medications, anti-viral/anti-microbial and anti-TB therapy as well as local therapy with intravitreal medications. Surgical support from Vitreo-Retinal team are also always available whenever urgent surgical intervention is required.



The Paediatric Ophthalmology & Adult Strabismus service of NHGEI provides care for children with strabismus (misalignment of the eyes), amblyopia ('lazy eye'), refractive errors and other paediatric ocular conditions. We also provide myopia control interventions for young children with progressive myopia.
Strabismus, aka squint, can occur in children and adults. Adult strabismus can occur due to uncorrected childhood onset squints, or it can be acquired as an adult due to various underlying conditions (e.g. nerve palsies, thyroid eye disease). This can lead to symptoms of diplopia (double vision). We provide interventions (glasses, exercises, surgery) where appropriate for childhood or adult strabismus.



Vision rehabilitation helps people with low vision learn new skills to maximise their remaining useful vision to maintain their independence.
The Eye Institute's Vision Rehabilitation clinic offers a comprehensive multi-disciplinary low vision assessment, which includes refraction; contrast sensitivity test; prescription of glasses, suitable optical and non-optical aids; recommendations for glare control; and demonstration of accessibility features on assistive technology devices. We work closely with our hospital's in-house low vision occupational therapy colleagues to enhance performance for activities of daily living, and offer orientation and mobility training as well.
In addition, we make referrals to our national community organisations such as Singapore Association for the Visually Handicapped (SAVH), Guide Dogs Singapore, Society for the Physically Disabled (SPD) etc.



The ageing population globally has led to an increase in prevalence of chronic eye diseases and a greater demand for eye care services.
The Comprehensive Eye Care Service (CECS) at NHGEI was established to enable trained Optometrists to manage patients with stable eye conditions in a safe and protocolized manner. This frees up resources for doctors to focus on patients with more complex eye disease. The CECS started with the Teleophthalmology service in 2009, which later evolved into the Stable Eye Condition Clinic (SEC-C) in 2014, Singapore Integrated Diabetic Retinopathy (SiDRP) Program in 2015 and the Community Eye Clinic (CEC) in 2018.
Most recently, The Virtual Ophthalmology Service (TVOS) kick-started in June 2020 during the COVID19 pandemic. This service reduces unnecessary physical consultations and increases our efficiency in managing these stable patients. The CECS is constantly evolving and striving to provide efficient, high quality and affordable eye care for patients with stable eye conditions.


