SharePoint
A- A A+
Home > About TTSH > News > Bone Metastasis
Living Life to the Full, Keeping active and pain-free with bone metastasis.

Prime Magazine (1 April 2021)

Living Life to the Full

Keeping active and pain-free with bone metastasis

The bone is the third most common site of cancer spread from other organs and a major cause of morbidity in cancer patients. Metastatic bone disease is at least one hundred times more common than primary bone cancer (sarcoma) in which the disease originates in the bone. In some cancer types, such as advanced breast and prostate cancer, the incidence of bone metastasis may be up to 80%. Bone pain or fracture can be the first presentation of an undiscovered cancer.

Although patients with metastatic bone disease generally cannot be cured, it is important to know that there are many treatment options that can be used to treat bone pain, and prevent fractures and other complications. With a combination of modern medicine and surgery, a large proportion of patients continue to enjoy years of healthy, active and pain-free life.

Cancers That Spread to the Bone

The most frequent cancers that metastasise to the bone arise from paired organs. Breast, prostate, lung, renal and thyroid cancers all frequently spread to the bone. In addition, cancers of blood cells, such as lymphoma and myeloma, also commonly affect the bone. Other cancers like gastrointestinal tract and nasopharyngeal cancer spread to the bone less frequently; these cancers tend to metastasise via lymphatic channels to other organs such as the liver or lung, with less predilection for the skeletal system.

Effects of Cancer on the Bone

Cancer spreads to the bone by the haematogenous (blood vessel) route. The classic “seed and soil” hypothesis was proposed by Englishman Stephen Paget over a century ago and forms the basis of our current understanding. According to this hypothesis, the bone is the “soil” and cancer cells circulating in the bloodstream lodge or “seed” into the bone. Once in the bone, the cancer cells divide and propagate by recruiting the body’s own cellular mechanisms cells to break down bone matrix, allowing further invasion and growth. The mechanisms and signalling molecules involved in this process are similar to those involved in osteoporosis, meaning that many anti-osteoporotic drugs are also useful for treating bone metastases. The vascular mechanism also explains the predilection for metastasis to occur in well vascularized areas of bone, such as the spine, pelvis and the ends of long bones.

Bone that is invaded by cancer may be painful because of an inflammatory effect, or due to mechanical weakness and instability. The former is characterized by pain at rest and at night; the latter is typified by pain during movement and walking. Pain that is associated with movement or weight bearing is more immediately concerning as it may indicate an impending fracture. In these cases, patients should be advised to stop weight bearing until further evaluation can be performed with X-rays or scans.

Radiologically guided procedures can be used to treat selected sites of bone metastasis through small incisions and often under local anaesthesia. Special needle probes are used to ablate tumours using microwave, radiofrequency or cryoprobes. Cannulated tubes allow injection of tumour cavities with cement to provide mechanical stability.

Pathological fractures are a major cause of morbidity and suffering in cancer patients. They often heal poorly even when treated with surgery. The general aim of management is to predict patients at risk of fracture and to implement preventive measures. Often, when a patient presents with a new diagnosis of cancer, the fracture risk may be very high, and surgery is required to prevent this occurring. If a cancer related fracture has already occurred, surgery is usually more difficult than in a non-cancer situation.

Diagnosis of the Metastatic Bone Disease

Most cases of musculoskeletal pain arise from benign causes, such as osteoarthritis, ligament injuries, muscle sprains or degenerative disease. However, doctors should always be alert to “red flags” that may indicate a more sinister cause. These include pain at rest or at night (non-mechanical), pain that fails to improve or gets progressively worse over time, pain of a deep or unrelenting nature, a history of active cancer, or any associated symptoms such as unintentional weight loss, weakness or malaise. If in doubt, a plain X-ray of the affected part should be performed and the patient referred to an orthopaedic surgeon as required.

Treatments for Metastatic Bone Disease

There are many effective treatment options for metastatic bone disease. These include:

  1. CHEMOTHERAPY AND HORMONAL THERAPY
    Drug therapies control cancer in the whole body and are often able to suppress the cancer in the bone very effectively. Prostate and breast cancer are generally very sensitive to hormone and chemotherapy treatment. Even diseases such as lung cancer – historically considered poorly responsive to chemotherapy – now have many drug options that are highly effective at suppressing disease, improving quality of life and markedly prolonging survival. Many patients are concerned with the side effects of chemotherapy and hormone therapy. However, treatments for metastasis aim to control rather than cure cancer, and have fewer and milder side effects than curative intent chemotherapy.
  2. ANTI-RESORPTIVE DRUGS
    Cancer damages the bone by causing bone resorption by the body’s own osteoclasts. Many anti-osteoporotic medications have also been shown to prevent cancer related bone resorption, reduce bone pain and prevent fractures. These include high dose bisphosphonates and RANKL inhibitors. These drugs inactivate osteoclasts and cause the “soil” of the bone to become harder, and unfavourable for cancer growth and propagation.
  3. RADIATION THERAPY
    External beam radiation is a method of treating cancer that is causing problems in a particular location, and may be used alone or in combination with surgery. Radiation is used alone for pain without mechanical instability. For pain related to mechanical weakness, surgery is usually required to address this. Some cancers, such as breast, prostate cancer and myeloma, are particularly sensitive to radiation and require lower doses for effective control. Radiation targets cancer cells but may also damage surrounding normal tissues, and there is a limit to the dose that can be given, particularly near sensitive organs like the bowel.
  4. SURGERY
    The aim of surgery is to prevent fractures from occurring, or to treat that fracture. A combination of clinical evaluation, X-rays and advanced scans are used to assess fracture risk. If the risk is estimated to be high, preventative surgery is offered, usually in the form of the insertion of a metal implant to reinforce the bone. Occasionally, the cancer affected segment of bone is removed and replaced with a metal implant; the complete removal of metastatic deposits (metastatectomy) reduces the risk of local cancer recurrence and may improve survival. The strategy is particularly useful if there is a single metastasis, the metastasis is poorly responsive to other forms of treatment, and/or if the patient has a long life expectancy. As cancer patients are now living for many years, it is important that the surgery should be sufficiently durable.
  5. MINIMALLY INVASIVE PROCEDURES
    Radiologically guided procedures can be used to treat selected sites of bone metastasis through small incisions and often under local anaesthesia. Special needle probes are used to ablate tumours using microwave, radiofrequency or cryoprobes. Cannulated tubes allow injection of tumour cavities with cement to provide mechanical stability. The advantages of minimally invasive techniques over traditional surgery include reduced blood loss, faster recovery, and lower risks from local rather than general anaesthesia.

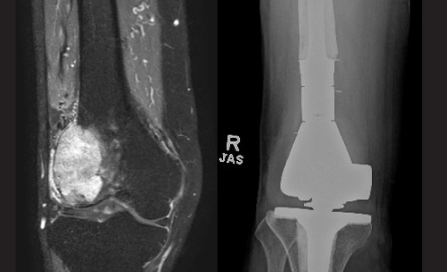
Figure 1: (L) An MRI of the right distal femur shows metastatic renal cell cancer. (R) A post-operative X-ray shows replacement of the bone with a tumour endoprosthesis. The implant allows the patient to walk immediately after surgery and provides a very durable reconstruction.

Figure 2: (L) Pre-operative X-ray shows a metastatic deposit from lung cancer with a high risk of pathological fracture. (R) Post-operative X-ray shows a titanium intramedullary nail used to reinforce the bone and prevent fracture.

These modalities are particularly useful for frail patients and for tumours in locations that are difficult to access, such as the spine or pelvis.

No Longer a "Death Sentence"

Metastatic bone disease is a common occurrence in cancer but is no longer considered a “death sentence”. There are multiple effective treatment options, and many patients go on to enjoy long and pain-free lives. Proactive management is important to prevent fractures and other complications, and a well-coordinated multidisciplinary approach is essential for providing optimal care.

Dr Lester Chan Wai Mon
Head of the Musculoskeletal Tumour Service
Tan Tock Seng Hospital

Dr Chan is a Consultant Orthopaedic Surgeon at Tan Tock Seng Hospital and Head of the Musculoskeletal Tumour Service. He is Adjunct Associate Professor at Lee Kong Chian School of Medicine and Senior Lecturer at Yong Loo Lin School of Medicine. He is actively involved in undergraduate and postgraduate education and research with a special interest in musculoskeletal oncology.
















2021/09/17
Last Updated on