SharePoint
A- A A+
Home > Patients and Visitors > Health Library

​​​​​​​​​​​​​​​​​​​​​​​​​​​​​​​​​​​​​​​​​​​​​​​​​​​​​​​​​​​​​​​​​​​​​​​​​​​​​​

























Psoriatic Arthritis

Download English PDF, 923KB, PDF
Download Chinese PDF, 1.14MB, PDF

What is Psoriatic Arthritis?

Psoriatic Arthritis (PsA) is a chronic inflammatory joint condition that affects patients with psoriasis. Psoriasis is a chronic autoimmune skin condition that causes red, scaly, flaky patches, which usually appear on the scalp, elbows, knees and lower back.

People with PsA experience painful, warm, and swollen joints with morning stiffness in the limbs and/or the spine. Patients usually develop psoriasis first and experience joint symptoms later. However, the arthritis can sometimes occur before rashes appear.

Psoriatic Arthritis  
Plaque psoriasis on elbow.
Photo retrieved from Psoriasis Speaks.

What Causes PsA?

The exact cause of PsA is unknown. As PsA is an autoimmune disease, it is caused by a combination of genetic and environmental factors.

Autoimmune diseases cause the immune system to attack its own internal organs, including the joints like in PsA.

Who are at Risk of PsA?

PsA may affect people of any age and gender but adults between age 30 and 50 are at higher risk. About 7% of patients with psoriasis have PsA and patients with more severe psoriasis are at higher risk of PsA.

Symptoms and Signs of PsA

PsA mainly affects:

  • Arm and leg (peripheral) joints
  • Spinal joints, including the sacroiliac (pelvic) joint

The key characteristics of PsA are:

  • Two to three joints of the limbs or spine are affected at the same time
  • Usually affects joints on one side of the body (i.e. asymmetrical)
  • Last joints of the fingers (nearest to the fingernails) are usually affected
  • Soft tissues around fingers and toe joints may be affected
  • Involvement of entheses (where tendons and ligaments attach to your bones) e.g. Achilles tendonitis (back of heel), plantar fasciitis (sole of foot)

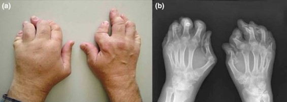
Psoriatic Arthritis

Left: PsA affecting hands, causing severely damaged and deformed joints; Right: XRay of affected hands.
Photos retrieved from Health Jade.

  Psoriatic Arthritis

Below: psoriatic nail changes.
Photo retrieved from Psoriasis Speaks.

In addition, PsA patients may occasionally develop inflammation in other organs unrelated to the affected joints, such as inflammation in the eye (e.g. uveitis).

How is PsA Diagnosed?

PsA is diagnosed based on the patient’s medical history, physical examination, laboratory tests and radiological imaging.

Common tests performed include:

  • Full blood count
  • Kidney and liver function tests
  • Inflammatory markers
  • X-rays of the spine and pelvis and other joints with abnormal symptoms
      

How is PsA Treated?

Although PsA cannot be cured, effective treatments include:

  1. Patient Education
    - Empower yourself with knowledge about PsA and take charge of your health.
  2. Lifestyle Modification
    - Quit smoking and have adequate rest.
  3. Medication
    - Patients with PsA often require to control their symptoms
    • Non-steroidal anti-inflammatory drugs (NSAIDs)
      Used to reduce joint swelling, pain and stiffness.
    • Disease modifying anti-rheumatic drugs (DMARDs)
      Aim to suppress inflammation so that joint pain and swelling are controlled, and damage to joints is minimised.
    • Corticosteroids
      Often used in low doses in combination with NSAIDs and DMARDs to enable quick control of inflammation. For selected cases, steroid injection can also be given for targeted treatment of affected joints.
    • Biologics
      Medical products that are extracted or produced from biological sources. These agents are expensive and reserved for arthritis that is not controlled by conventional therapy.
  4. Physiotherapy (PT) and Occupational Therapy (OT)
    - Improve pain control using non-pharmacological methods (e.g. heat and cold therapy).
    - Explore ways of improving mobility of affected joints and muscles (e.g. application of splints).

  5. Surgery
    - Patients with severely damaged joints may be recommended to undergo surgical treatment (e.g. prosthetic joint replacement) if necessary.

Can this Condition be Cured?

PsA can be mild, moderate or severe. Most patients can improve with early treatment in the early stages of disease and can lead a normal life.

A small percentage of patients may have permanent joint damage and deformities due to severe disease or negligence. This may be prevented with early medical help and following closely to the treatment prescribed by the doctor.

2022/04/06

 

Your Opinion Matters to Us

We’re committed to providing the best possible experience, and your feedback is crucial for us to do that. Your responses will help us improve our health articles and serve you better in the future.

Please take a moment to complete our short survey

Find care at TTSH

2024/09/09
Last Updated on